小児矯正(混合歯列期の矯正治療)
小児矯正(混合歯列期の矯正治療)
矯正治療は歯並びが綺麗に整うことはもちろん、咬み合わせが整うことで身体によい影響を与える可能性があります。
機能性や審美性の向上はもちろん、心身の健康状態が良くなっていくことが期待できる治療と考えます。

乳歯が永久歯に生え替わっていく時期(7~12歳頃)を混合歯列期といいます。この時期は、肉体的にも精神的にもダイナミックな変化を伴う時期でもあります。顎の成長発育も旺盛で、受け口・出っ歯・開咬などの骨格が原因とする不正咬合の場合、成長に伴って骨格のズレがより大きくなる可能性があります。矯正治療(1期治療)により顎の成長をコントロールし、アンバランスの程度を最小限にくい止める事が、この時期の治療目的になります。
また、顎が小さいために起こる乱杭歯もこの時期に顎の成長を促すことで、将来歯を抜かないで治療できる可能性が高まります。
そして、12歳頃からの永久歯全体の治療(2期治療)で、理想的な歯並びと咬み合わせに仕上げていきます。
よく咬めること(正常な咀嚼機能の回復)により、顔や顎の筋肉がバランスよく発達し、豊かな表情となります。また、口元もすっきりとし、生き生きとした印象になります。
健康的で美しく整った歯並び、さわやかな笑顔は、貴重な財産となるでしょう。
私たちは矯正歯科治療を通して、皆様の健康と幸せに少しでも貢献できればと考えております。

小児矯正を始める時期というのは、お子さまによって違います。歯の萌出状態や顎の骨の成長度合いが、お子さま一人一人異なるため、個々の状況によって開始時期が異なってきます。一般的に遺伝的な骨格の異常が疑われる場合には、早めに症状の確認をおすすめします。特に遺伝的な異常がない場合に関しては、6歳〜7歳くらい(永久歯の生え変わりが始まる頃)に開始するケースが多いです。まずは、当院までお越しいただきお口の中を確認させて頂ければと思います。

①抜歯を回避できる
②顎がバランスよく成長する
③口腔周囲筋を鍛える効果がある
④早い段階から虫歯や歯周病予防ができる
⑤将来的な2期治療が不要になる場合がある
マウスピース型矯正装置(インビザラインファースト)はお子様専用のマウスピース矯正治療のことを言います。
目立ちにくいのが特徴で、お食事や歯磨きの際は取り外していただきます。


1期治療では主に上顎と下顎の関係を整えたり、歯列を拡げて歯が並ぶ場所を増やしたりします。また、交叉咬合などの機能障害を取り除くことで咬みやすい歯並びに整えます。歯並び咬み合わせは、その後の顎の成長発育に大きく影響するため、異常が認められる場合はできるだけ早期の改善が望まれます。
正常な筋機能の獲得、スムーズな永久歯列への誘導が、この時期の重要な目的です。
不正の状態に応じ適切な時期に治療を行うことで治療全体が易しくなり、 また治療後の健全な成長発育(精神的にも肉体的にも)が期待できます。
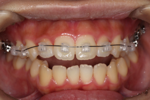
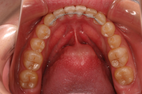
取りはずしのできる装置、半透明なマウスピース型矯正装置(インビザライン:完成物薬機法対象外の装置)、奥歯にバンドで固定する装置など、症状にあわせて治療を行っていきます。

2期治療では、永久歯列完成頃に歯並び咬み合わせ全体の治療を行います。
12~14歳頃(顎の成長に問題が無い時点)から、本格的な歯列全体の治療を行っていきます。
歯を動かすためにワイヤーの力を利用して歯の移動を行う装置を、マルチブラケットアプライアンスと呼びます。
セルフライゲーションブラケット装置(デーモンクリア)、歯の裏側に装着するカスタムメイド型リンガルブラケット等の種類があります。
通常の治療の他、外科的な処置を併用した治療(外科矯正治療)が必要な場合があります。ワイヤーを使わない治療として、マウスピース型矯正装置(インビザライン:完成物薬機法対象外の装置)による治療があります。
これは半透明なマウスピースを1日20時間以上を目安に装着することで歯を移動します。

唾液緩衝能

ラクトバチラス菌

ミュータンス菌

口腔内デジタルスキャナー

デジタル模型
採得したデジタルデータを、コンピュータ解析します(セファロ分析および治療シミュレーション)。 また上下顎骨の前後的および垂直的バランスを評価し、今後の成長を考慮した上で治療方針を決定します。 サリバテストでは、口腔内の細菌と唾液の性質を評価し、現在の口腔内環境に合わせた虫歯予防プランを作成します。 検査結果を元に十分な相談の上、できる限り希望に沿えるよう適切な治療の計画を立てます。

セファロ分析

頭部X線規格写真

保定治療とは、保定装置を用いて動かした歯が元に戻らないよう固定する治療のことです。歯の裏側に細いワイヤーを接着したり、半透明マウスピースを使って固定します。通院は、3ヶ月~6ヶ月に1回程度で、歯ならび咬み合わせのチェックとクリーニングを行います。

Before

After
.jpg)
〒001-0040
札幌市北区北40条西4-2-10 麻生パステルセトビル3F
完全予約制
平日診療
10:00~19:00(最終受付18:00)
土曜日診療
10:00~18:00(最終受付17:00)
日曜日診療
10:00~17:00
※お電話のご予約は17:00までにお願いいたします。
※毎週水曜日・祝日は休診日
※木曜日・日曜日は月2回診療
※ 矯正相談のご予約は平日15:00までとなります。
休診カレンダー
| 日 | 月 | 火 | 水 | 木 | 金 | 土 | ||||||||||||||
|---|---|---|---|---|---|---|---|---|---|---|---|---|---|---|---|---|---|---|---|---|
| ||||||||||||||||||||
| ||||||||||||||||||||
| ||||||||||||||||||||
| ||||||||||||||||||||
| ||||||||||||||||||||
| 日 | 月 | 火 | 水 | 木 | 金 | 土 | ||||||||||||||
|---|---|---|---|---|---|---|---|---|---|---|---|---|---|---|---|---|---|---|---|---|
| ||||||||||||||||||||
| ||||||||||||||||||||
| ||||||||||||||||||||
| ||||||||||||||||||||
| ||||||||||||||||||||
| ||||||||||||||||||||
| 日 | 月 | 火 | 水 | 木 | 金 | 土 | ||||||||||||||
|---|---|---|---|---|---|---|---|---|---|---|---|---|---|---|---|---|---|---|---|---|
| ||||||||||||||||||||
| ||||||||||||||||||||
| ||||||||||||||||||||
| ||||||||||||||||||||
| ||||||||||||||||||||
| 日 | 月 | 火 | 水 | 木 | 金 | 土 | ||||||||||||||
|---|---|---|---|---|---|---|---|---|---|---|---|---|---|---|---|---|---|---|---|---|
| ||||||||||||||||||||
| ||||||||||||||||||||
| ||||||||||||||||||||
| ||||||||||||||||||||
| ||||||||||||||||||||
定休日
定休日
6月13日、16日…学会のため休診となります。
8月11、12、13、14、15日…お盆休み
9月30日…日本矯正歯科学会
10月1日…日本矯正歯科学会
11/4(スタッフセミナー)
1月1日~1月5日:年末年始の休暇、1月12日:成人の日
2月11日...建国記念日、2月23日...天皇誕生日
3月20日…春分の日
4月29日…昭和の日
5月3日…憲法記念日、5月4日…みどりの日、5月5日…こどもの日、5月6日...振替休日
7月21日…海の日
8月11日…山の日
9月15日…敬老の日、9月23日…秋分の日
10月13日…スポーツの日
11月3日…文化の日
12月28日~12月31日:年末年始の休暇
※色がついている日は休診となります。予めご了承ください。
成人矯正
子どもの矯正
マウスピース型矯正装置(インビザライン)
その他の診療項目