成人矯正(永久歯の矯正治療)
成人矯正(永久歯の矯正治療)
矯正治療は、歯並びを綺麗に整える事、また咬み合わせが整えられることで健康状態にも好影響を与える事が期待できます。
審美性の向上はもちろん、機能性や心身の健康状態が良くなっていくことが矯正治療のメリットでもあります。
歯の矯正を始めたいと思っていても、矯正の種類が多くてどの治療を受ければいいのか分からないと感じる方もいらっしゃるのではないでしょうか?当院では、表側矯正・裏側矯正(舌側矯正)・マウスピース矯正などでの治療を行っています。患者様の口内を検査させて頂き、患者様に合わせた治療方法をご提案させて頂きます。
3つの治療法にはそれぞれ特徴がありますので、ご紹介させて頂きます。
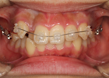
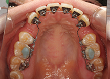
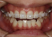
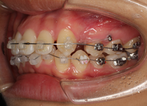
矯正歯科治療の中でも最もオーソドックスな治療法が、表側矯正(ワイヤー矯正)です。この表側矯正は歯にブラケットという装置を取り付け、そこにワイヤーを通して歯に力をかけながら、少しずつ歯を移動させて歯並びを整えていくという治療方法です。表側矯正(ワイヤー矯正)は最も適応範囲の広い治療方法です。
従来の矯正歯科治療と言えば、表側にワイヤーを通す表側矯正が一般的でしたが、最近は見た目を気にする方も増えてきて、矯正はしたいけど気付かれたくないという方も多くなってきています。そのような方のニーズに応える治療法として、裏側矯正というものがあります。今まで表側に着けていたブラケットとワイヤーを、裏側に取り付ける事で、見えずに矯正治療を行う事ができます。適応可能な症例は表側矯正とほとんど同じですが、一部適応が難しい症例もあります。

矯正歯科で歯をきれいに整えたいけど、ワイヤー器具が目立つのが気になるという方が増えてきていますが、そのような方におすすめなのが、マウスピースを使った矯正治療です。ワイヤー矯正とは違って、ブラケットやワイヤーは使わずに、透明なマウスピースを装着して歯を動かしていく治療です。


フェイスボウトランスファー

咬合器
咬み合わせと顎関節の関係を、フェイスボウトランスファーで作製したマウント模型を用いて診査します。
細かな顎の動きと、それに伴う咬み合わせ上の問題を検討します。また、上下顎の前後的および水平的バランスを評価します。

唾液緩衝能

ラクトバチラス菌

ミュータンス菌

3Dデジタルセットアップ

口腔内デジタルスキャナー
口腔内デジタルスキャナーは、口腔内の歯や歯周組織を高精度でスキャンするための装置です。従来の印象法(歯型採得法)に比べて、より迅速かつ正確なデジタルデータを取得することができます。
口腔内デジタルスキャナーは、光学的なセンサーやカメラを使用して、口腔内の詳細な形状や構造を捉えます。これにより、歯や歯列、咬合(かみあわせ)の状態などをデジタル的に再現し、口腔内のデジタルモデルを作成します。
360度様々な角度で口腔内を撮影することができるため、肉眼では確認しにくい個所もしっかりとデータとして取得することが可能です。
採得したデジタルデータをコンピュータ解析します(セファロ分析および治療シミュレーション)。 またマウント模型では、咬み合わせ(咬合)の問題および上下顎骨の前後的および垂直的バランスを評価して治療方針を決定します。 サリバテストでは、口腔内の細菌と唾液の性質を評価し、現在の口腔内環境に合わせた虫歯予防プランを作成します。 検査結果を元に十分な相談の上、できる限り希望に沿えるよう適切な治療の計画を立てます。

セファロ分析

頭部X線規格写真

治療シミュレーション
永久歯列の治療で、歯を動かすためにワイヤーの力を利用して歯の移動を行う装置をマルチブラケットアプライアンスと呼びます。
セルフライゲーションブラケット装置(デーモンクリア)、歯の裏側に装着するカスタムメイド型リンガルブラケット等の種類があります。ワイヤーを使わないものとして、マウスピース型矯正装置(インビザライン)があります。これは半透明なマウスピースを1日20時間以上装着することで歯を移動します。

デーモンクリア

リンガルブラケット

マウスピース型矯正装置(インビザライン)

ホワイトワイヤー

アンカースクリュー

保定治療とは、保定装置を用いて動かした歯が元に戻らないよう固定する治療のことです。歯の裏側に細いワイヤーを接着したり、半透明マウスピースを使って固定します。通院は、3ヶ月~6ヶ月に1回程度で、歯ならび咬み合わせのチェックとクリーニングを行います。
うまく咬みきれない、食事に時間がかかる、丸飲みしてしまう等の症状がある場合、上下の歯がうまく咬み合っていないかもしれません。
そのような場合に上あごが突出している(上顎前突)、下あごが前に出ている(受け口、反対咬合)、あるいは前歯の間に上下的に隙間がある(開咬)、 下顎が横にズレている(顎偏位)、ガミースマイル、顔面非対称、ロングフェイスなどの症状を伴うことがあります。
このような症状で歯の移動だけでは治療困難で高度な変形(顎変形症)が認められるとき、歯ならびを揃えた後に、 顎の骨を外科的に移動して上下の骨格を合わせて咬み合わせを治します。このような治療を、外科矯正治療と呼びます。

〒001-0040
札幌市北区北40条西4-2-10 麻生パステルセトビル3F
完全予約制
平日診療
10:00~19:00(最終受付18:00)
土曜日診療
10:00~18:00(最終受付17:00)
日曜日診療
10:00~17:00
※お電話のご予約は17:00までにお願いいたします。
※毎週水曜日・祝日は休診日
※木曜日・日曜日は月2回診療
※ 矯正相談のご予約は平日15:00までとなります。
休診カレンダー
| 日 | 月 | 火 | 水 | 木 | 金 | 土 | ||||||||||||||
|---|---|---|---|---|---|---|---|---|---|---|---|---|---|---|---|---|---|---|---|---|
| ||||||||||||||||||||
| ||||||||||||||||||||
| ||||||||||||||||||||
| ||||||||||||||||||||
| ||||||||||||||||||||
| ||||||||||||||||||||
| 日 | 月 | 火 | 水 | 木 | 金 | 土 | ||||||||||||||
|---|---|---|---|---|---|---|---|---|---|---|---|---|---|---|---|---|---|---|---|---|
| ||||||||||||||||||||
| ||||||||||||||||||||
| ||||||||||||||||||||
| ||||||||||||||||||||
| ||||||||||||||||||||
| 日 | 月 | 火 | 水 | 木 | 金 | 土 | ||||||||||||||
|---|---|---|---|---|---|---|---|---|---|---|---|---|---|---|---|---|---|---|---|---|
| ||||||||||||||||||||
| ||||||||||||||||||||
| ||||||||||||||||||||
| ||||||||||||||||||||
| ||||||||||||||||||||
| 日 | 月 | 火 | 水 | 木 | 金 | 土 | ||||||||||||||
|---|---|---|---|---|---|---|---|---|---|---|---|---|---|---|---|---|---|---|---|---|
| ||||||||||||||||||||
| ||||||||||||||||||||
| ||||||||||||||||||||
| ||||||||||||||||||||
| ||||||||||||||||||||
| ||||||||||||||||||||
定休日
定休日
8月12、13、14、15日…お盆休み
9月30日…日本矯正歯科学会
10月1日…日本矯正歯科学会
11/4(スタッフセミナー)
1月1日~1月5日:年末年始の休暇、1月12日:成人の日
2月11日...建国記念日、2月23日...天皇誕生日
3月20日…春分の日
4月29日…昭和の日
5月3日…憲法記念日、5月4日…みどりの日、5月5日…こどもの日、5月6日...振替休日
7月20日…海の日
8月11日…山の日
9月15日…敬老の日、9月23日…秋分の日
10月13日…スポーツの日
11月3日…文化の日
12月28日~12月31日:年末年始の休暇
※色がついている日は休診となります。予めご了承ください。
成人矯正
子どもの矯正
マウスピース型矯正装置(インビザライン)
その他の診療項目