治療のコンセプト
concept
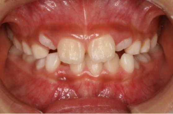
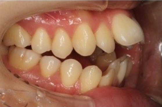
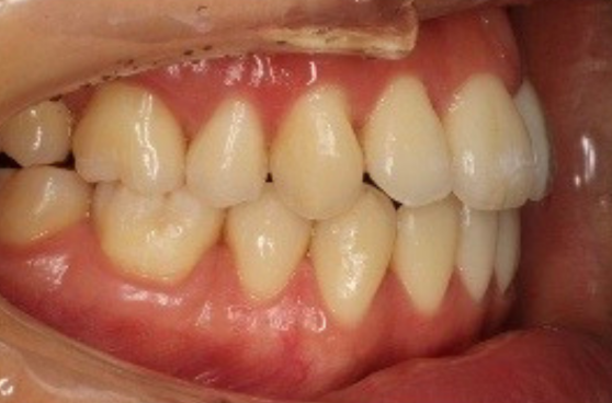
矯正治療の目的の一つに、歯の寿命を延ばすことがあります。歯並び、咬み合わせに問題があれば、それぞれの歯にかかる負担が大きくなります。また、うまく磨けなければ、虫歯、歯周病になる可能性はかなり増えます。歯並びが良ければ、歯列全体で咬み合うため、個々の歯にかかる負担が減り、歯磨きもしやすくなります。
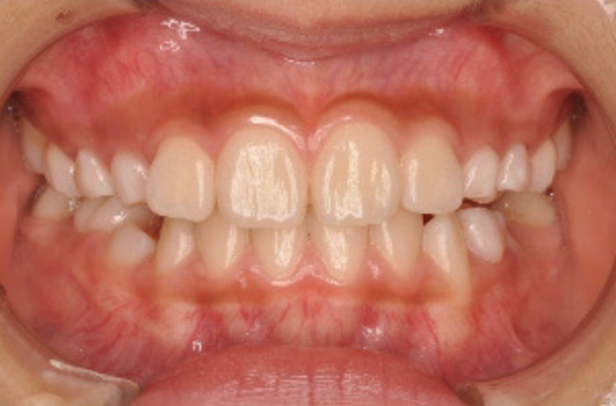
適切な衛生管理により、生涯ご自分の歯で食べることは、決して無理なことではありません。 呆けと咀嚼の関係が指摘されていますが、咬み合わせは、生涯我々の健康に大きく関係しております。 よく咬めること(正常な咀嚼機能の回復)により、顔や顎の筋肉がバランスよく発達し、豊かな表情となります。 また口元もすっきりとし、生き生きとした印象になります。
健康的で美しく整った歯並び、さわやかな笑顔は、貴重な財産となるでしょう。私たちは矯正治療を通して、皆様の健康と幸せに少しでも貢献できればと考えております。



































