こどもの治療例(1期治療)
こどもの治療例(1期治療)
矯正歯科治療では、歯並びが綺麗に整うことはもちろん、咬み合わせが整うことで身体によい影響を与え、健康状態が整っていきます。
機能性や審美性の向上はもちろん、心身の健康状態が良くなっていくことが矯正治療のメリットでもあります。
乳歯列反対咬合

乳歯列の反対咬合で特に左右的偏位がある場合には、早期の咬み合わせの改善が望まれます。
乳歯列時の咬み合わせの改善により、永久前歯が萌出した後の正常な咬み合わせが期待できます。
本症例も前歯が永久歯に生え替わったあと、正常被蓋になりました。
ただ生え替わりにスペースがやや不足していたため、歯列の拡大を行いました。
叢生


萌出スペースが不足している場合、前歯が内側に出てきたり斜めに生えることがあります。
歯列の幅を無理のない範囲で広げる(拡大する)ことで、萌出するための場所を確保出来る場合があります。
広げた場所にズレている歯を誘導することで、整えることが可能となります。
歯の萌出と、装置を使用するタイミングが、治療効果には重要な要素と言えます。
上顎前突

本症例はヘッドギアにて上顎前歯を後退するスペースを獲得した後、上顎前歯を整列しました。その後バイオネーターにて下顎の発育を促し、上下顎の前後的なバランスを改善しました。装置の使用には非常に協力的であったため、良好な結果が得られました。
1期治療が功を奏し、2期治療は必要ないところまで改善できました。
開咬

本症例は、1期治療で前歯が上下的に咬み合うことを目標に治療を進めました。
永久歯の交換に交換後、機能的咬合の確立のため2期治療に移行しました。
開咬(2期治療)
.jpg)
本症例は、1期治療で前歯が上下的に咬み合うことを目標に治療を進めました。
永久歯の交換に交換後、機能的咬合の確立のため2期治療に移行しました。
2期治療では歯列全体の整列と口元の審美的改善のため、小臼歯を抜歯しました。
上下顎前歯後退のために時間を要しましたが口唇閉鎖が容易となり、すっきり整った口元に改善が出来ました。
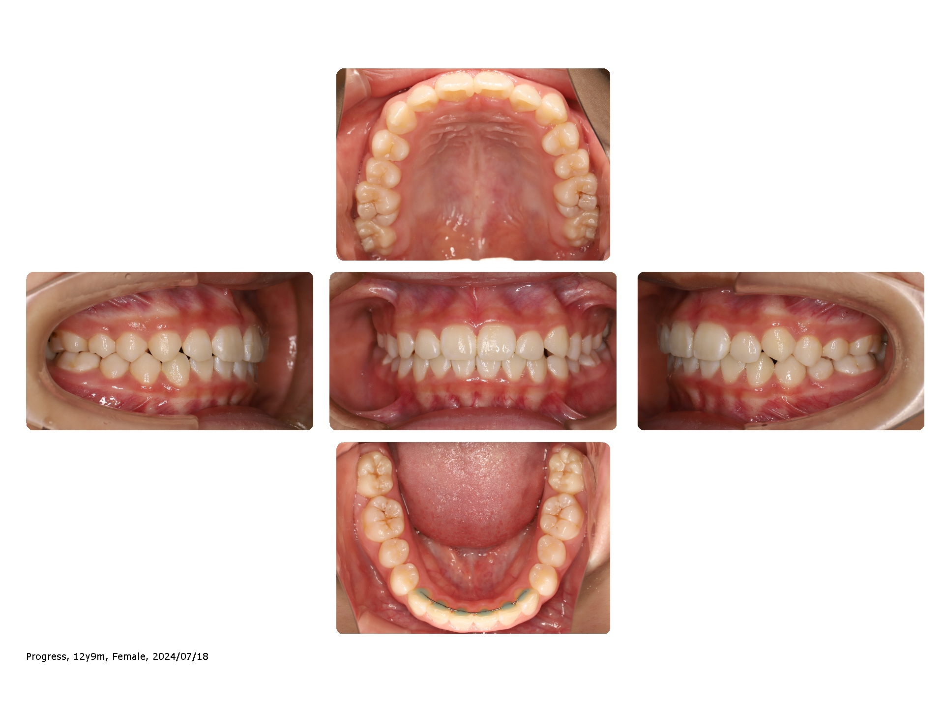
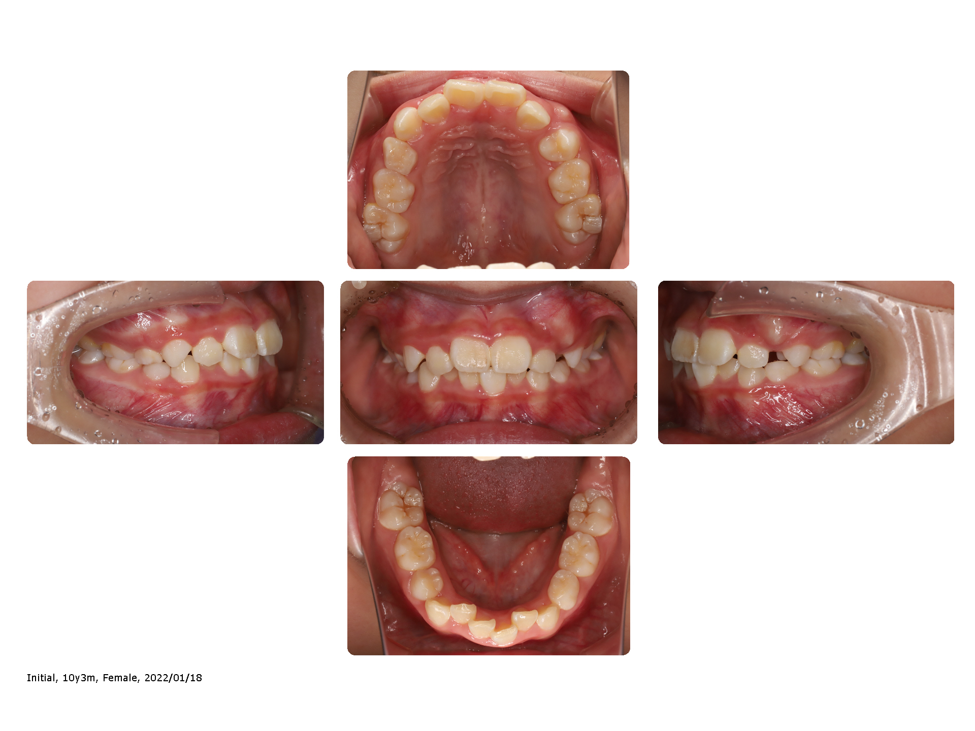
叢生(マウスピース型矯正装置(インビザラインファースト))

Before

After
.jpg)
〒001-0040
札幌市北区北40条西4-2-10 麻生パステルセトビル3F
完全予約制
平日診療
10:00~19:00(最終受付18:00)
土曜日診療
10:00~18:00(最終受付17:00)
日曜日診療
10:00~17:00
※お電話のご予約は17:00までにお願いいたします。
※毎週水曜日・祝日は休診日
※木曜日・日曜日は月2回診療
※ 矯正相談のご予約は平日15:00までとなります。
休診カレンダー
| 日 | 月 | 火 | 水 | 木 | 金 | 土 | ||||||||||||||
|---|---|---|---|---|---|---|---|---|---|---|---|---|---|---|---|---|---|---|---|---|
| ||||||||||||||||||||
| ||||||||||||||||||||
| ||||||||||||||||||||
| ||||||||||||||||||||
| ||||||||||||||||||||
| 日 | 月 | 火 | 水 | 木 | 金 | 土 | ||||||||||||||
|---|---|---|---|---|---|---|---|---|---|---|---|---|---|---|---|---|---|---|---|---|
| ||||||||||||||||||||
| ||||||||||||||||||||
| ||||||||||||||||||||
| ||||||||||||||||||||
| ||||||||||||||||||||
| ||||||||||||||||||||
| 日 | 月 | 火 | 水 | 木 | 金 | 土 | ||||||||||||||
|---|---|---|---|---|---|---|---|---|---|---|---|---|---|---|---|---|---|---|---|---|
| ||||||||||||||||||||
| ||||||||||||||||||||
| ||||||||||||||||||||
| ||||||||||||||||||||
| ||||||||||||||||||||
| 日 | 月 | 火 | 水 | 木 | 金 | 土 | ||||||||||||||
|---|---|---|---|---|---|---|---|---|---|---|---|---|---|---|---|---|---|---|---|---|
| ||||||||||||||||||||
| ||||||||||||||||||||
| ||||||||||||||||||||
| ||||||||||||||||||||
| ||||||||||||||||||||
定休日
定休日
6月13日、16日…学会のため休診となります。
8月11、12、13、14、15日…お盆休み
9月30日…日本矯正歯科学会
10月1日…日本矯正歯科学会
11/4(スタッフセミナー)
1月1日~1月5日:年末年始の休暇、1月12日:成人の日
2月11日...建国記念日、2月23日...天皇誕生日
3月20日…春分の日
4月29日…昭和の日
5月3日…憲法記念日、5月4日…みどりの日、5月5日…こどもの日、5月6日...振替休日
7月21日…海の日
8月11日…山の日
9月15日…敬老の日、9月23日…秋分の日
10月13日…スポーツの日
11月3日…文化の日
12月28日~12月31日:年末年始の休暇
※色がついている日は休診となります。予めご了承ください。
成人矯正
子どもの矯正
マウスピース型矯正装置(インビザライン)
その他の診療項目