表側矯正(ワイヤー矯正)について
表側矯正(ワイヤー矯正)について
歯の表側に矯正装置を取り付ける方法で、「矯正」と聞いて一番イメージをしやすい矯正方法かと思います。
表側矯正は様々な歯並びの症例に対応することができ、効果的な矯正治療が行えます。


表側矯正は、矯正治療の中で最オーソドックスな治療方法で、オーソドックスな治療方法で、矯正治療の中では一番歴史の長い治療方法です。
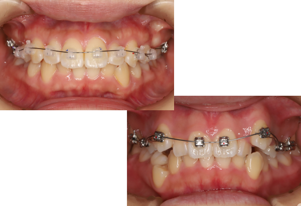
名前の通り、歯の表面にブラケットという矯正装置を装着し、そこにワイヤーを通して歯の矯正を行います。ワイヤーの形・素材・太さを細かく調整できるため、幅広い症例に対応可能です。また、目立ちにくい半透明なブラケットや白色のワイヤーを使用して行う審美性に優れた矯正装置もあります。表側矯正のデメリットである見た目を少しでも抑えることができます。

歯の表にブレイスと呼ばれる装置を取り付けることで、様々な咬合異常の治療が可能です。セルフライゲーションブラケットを使用し、歯の移動もスムーズに行えます。歯の表面に装着したブラケットとワイヤーの圧を1本1本の歯にかけることで細かい歯のコントロールができます。また、ワイヤーの形・素材・太さなどの微調整がしやすく完成度の高い仕上がりを目指すことができます。


当院では2種類のセルフライゲーションブラケットを使用しています。さらにはデジタルセットアップを適用したインシグニア(咬合をデジタルで設計し、治療前から治療終了後を視覚化できる)をオプションとして選択可能です。
審美的にすぐれたセラミックブラケット(Demon Clear)と機能性を重視したメタルブラケット(Demon Ultima)を用い、患者様一人ひとりに合った治療を提供しています。
Demon Clearは歯に近い自然な色合いで目立ちにくく、見た目を重視したい方に適しています。強度や耐久性も高く、着色しにくいのも特徴です。
Damon Ultimaはしっかりとした強度と耐久性があり、また独自の俵型ワイヤーの使用により歯の移動がスムーズです。金属製で目立ちやすいですが、セラミックに比べ歯の移動が効率的に行えるなど機能性を重視したい方に向いています。
表側に矯正装置を装着しますので、口を開けた際は他の矯正方法よりも目立ちやすくなります。
当院では、歯の色に馴染むブラケットを使用した「デーモンクリア」や「ホワイトワイヤー」を使用することでなるべく目立ちにくい表側矯正を実現できます。
ただ、裏側よりも歯磨きができていない部位の確認が容易であることは利点と言えます。


歯の移動には矯正力が必要なため、どのような装置を使っても調整した日から数日は痛みや違和感を感じることがあります。また、装置が唇や頬にあたることで傷や口内炎の原因となる場合があります。
矯正装置を歯に固定してしまうため、食事の際も歯磨きの際も取り外しはできません。そのため食べ物が歯と装置の隙間にはさまり汚れが除去しづらいため、十分なブラッシングをしないと虫歯の原因になることがあります。

〒001-0040
札幌市北区北40条西4-2-10 麻生パステルセトビル3F
完全予約制
平日診療
10:00~19:00(最終受付18:00)
土曜日診療
10:00~18:00(最終受付17:00)
日曜日診療
10:00~17:00
※お電話のご予約は17:00までにお願いいたします。
※毎週水曜日・祝日・木曜日・日曜日(月2回診療)は休診日です。
※ 矯正相談のご予約は平日15:00までとなります。
休診カレンダー
| 日 | 月 | 火 | 水 | 木 | 金 | 土 | ||||||||||||||
|---|---|---|---|---|---|---|---|---|---|---|---|---|---|---|---|---|---|---|---|---|
| ||||||||||||||||||||
| ||||||||||||||||||||
| ||||||||||||||||||||
| ||||||||||||||||||||
| ||||||||||||||||||||
| 日 | 月 | 火 | 水 | 木 | 金 | 土 | ||||||||||||||
|---|---|---|---|---|---|---|---|---|---|---|---|---|---|---|---|---|---|---|---|---|
| ||||||||||||||||||||
| ||||||||||||||||||||
| ||||||||||||||||||||
| ||||||||||||||||||||
| 日 | 月 | 火 | 水 | 木 | 金 | 土 | ||||||||||||||
|---|---|---|---|---|---|---|---|---|---|---|---|---|---|---|---|---|---|---|---|---|
| ||||||||||||||||||||
| ||||||||||||||||||||
| ||||||||||||||||||||
| ||||||||||||||||||||
| ||||||||||||||||||||
| 日 | 月 | 火 | 水 | 木 | 金 | 土 | ||||||||||||||
|---|---|---|---|---|---|---|---|---|---|---|---|---|---|---|---|---|---|---|---|---|
| ||||||||||||||||||||
| ||||||||||||||||||||
| ||||||||||||||||||||
| ||||||||||||||||||||
| ||||||||||||||||||||
定休日
6月13日、16日…学会のため休診となります。
8月11、12、13、14、15日…お盆休み
9月30日…日本矯正歯科学会
10月1日…日本矯正歯科学会
11/4(スタッフセミナー)
1月1日~1月5日:年末年始の休暇、1月12日:成人の日
2月11日...建国記念日、2月23日...天皇誕生日
3月20日…春分の日
4月29日…昭和の日
5月3日…憲法記念日、5月4日…みどりの日、5月5日…こどもの日、5月6日...振替休日
7月21日…海の日
8月11日…山の日
9月15日…敬老の日、9月23日…秋分の日
10月13日…スポーツの日
11月3日…文化の日
12月28日~12月31日:年末年始の休暇
※色がついている日は休診となります。予めご了承ください。
成人矯正
子どもの矯正
マウスピース矯正
(インビザライン)
その他の診療項目